牙齿美白
如今含有大量色素的美食不胜枚举,其色素渐渐侵蚀了牙质原本的白色,使洁白的牙齿变成了"色素牙",往日自信灿烂的笑容因齿而黯然失色。引起变色牙的因素很多,依受影响的程度不同,可呈白垩色,黄褐色或暗棕色,其治疗方式也不一样。【点击了解更多】
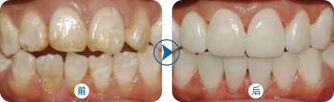
牙齿美白治疗过程:轻松舒适、快速美白
哪些症状需要做牙齿美白?
牙齿美白4大方式
1冷光美白
美白更坚固,防龋剑齿
穗华冷光美白技术采用恒温纳米光,是现阶段的牙齿美白技术。它在冷光美白的基础上,首创过氧化氢加硝酸钾和氟化物结合的美白方式,打破了传统冷光美白的局限性,克服了传统冷光美白时牙齿酸痛,美白后牙龈过敏的窘境,具有高效快速、保护牙齿、舒适无痛、效果持久等优点,效果可维持5年以上。【咨询治疗过程】
适应症:四环素牙、外因性色素牙、黄黑牙、氟斑牙、遗传性色素牙等
适合冷光美白吗?点击咨询专家
2瓷立美贴面
7天美牙·放肆笑
穗华口腔瓷立美贴面采用全新高科技生物材料及3D数字化设计制作,应用独特工艺上色,形态完美、色泽自然逼真,最薄可至0.2mm,硬度高达400Mpa,每一片贴面在形状、色泽上与患者的牙列、脸型完美匹配,整个过程无创、零痛苦,美观大方,经久耐用,无需备牙,维护简易。【查看治疗过程】
适应症:变色牙、四环素牙、氟斑牙、牙齿缺损、牙齿稀疏、牙釉质不全等
适合瓷立美贴面吗?点击咨询专家
3超薄瓷贴面
30分钟快速美白
穗华数字化超薄全瓷贴面采用3Shape TRIOS™技术数字化光学取模,德国VITA™技术精准比色,超薄到0.2mm,可以不备牙即磨牙,完全做到了无创、零痛苦,每一片贴面在形状、色泽上与患者的牙列、脸型完美匹配,整个过程1个小时即可完成,快捷、方便!【查看治疗过程】
适应症:氟斑牙、四环素牙、色素沉淀、牙釉质发育不全、龋齿、死髓牙等
适合瓷贴面吗?点击咨询专家
4德国Prophyflex气动喷砂洁牙
轻松无痛,清洁牙齿
穗华口腔率先引进德国Prophyflex气动喷砂洁牙系统,使用特制喷砂牙粉去除菌斑、色素和牙石,特别适用清理超声波洁牙机不易到达的牙间隙位置,清理效率远高于超声波洁牙机,是目前国际上的无痛洁牙技术。【适合喷砂洁牙吗?咨询专家】
适应症:牙结石、牙菌斑、轻度色素牙等
不知道适合哪种方式?直接问专家更方便



